|
X線撮影検査
X線撮影検査とは、いわゆるレントゲン写真のことです。撮影条件を変えることで、骨折などの整形疾患
だけでなく、肺や心臓などの胸部疾患や、肝臓や胃腸などの腹腔内臓器疾患などの検査にも使用されます。
骨折・骨疾患等
一般の方が、X線撮影ときいて最初に思いつくのは、骨の異常の診断でしょう。骨折だけではなく、骨腫瘍や脊椎疾患の診断などにも使用します。
左上:橈尺骨(前腕)骨折
右上:脛骨(後肢)骨折
左下:骨盤骨折
右下:脊髄造影
(椎間板ヘルニア) |
 |
 |
 |
 |
胸部X線撮影
肺や心臓の異常などを診るために撮影します。胸部を最低でも、側面からと腹(または背)からの2方向から撮影します。
上段:健常犬の胸部
下段:健常猫の胸部
|
 |
 |
 |
 |
腹部X線撮影
主に腹部の病変を診るために行われます。消化管の異常や腹腔内腫瘍などの状態を調べたりするのに用いられます。
上段:犬の消化管造影
下段:猫の腹部単純撮影 |
 |
 |
 |
 |

X線透視検査
X線撮影が静止画なのに対し、X線透視検査では動画として観察できます。このため、消化管や脊椎造影
検査での造影剤が流れる様子を確認したり、関節の動きを診るのに有効です。
また、フレキシブルアリゲータ鉗子によるフィラリア成虫摘出手術や、骨折の創外固定手術にも使用します。


超音波エコー画像検査
超音波とは、人が聞くことの出来る20,000Hzよりも高い周波数の音のことです。
超音波エコー画像検査は、生体内に超音波を発射すると、臓器や密度の違う組織の境界から反射波
(エコー)が返ってくる性質を利用して作る断層画像により、体内の状況を診ます。
犬や猫の検査に使う装置では、数メガ〜十数メガHZの超音波が使用されます。
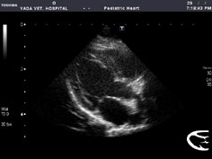
心エコー検査
心エコー検査とは、超音波エコー画像診断装置で心臓の様子を動画像で映し出して診断する検査です。心臓の形状の異常を診る「形態的診断」と心臓の働きや血液の流れの異常を診るを診る「機能的診断」があります。心臓の異常を診断したり、心臓病の程度や進行具合をチェックするのに非常に有効な検査です。
左上段:健常犬・左心室長軸画像
右上段:健常猫・左心室長軸画像
左中段:フィラリア寄生犬・右短軸肺動脈画像
右中段:末期フィラリア症による肺高血圧症犬
・肺動脈流速計測
左下段:PDA(動脈管開存症)犬・肺動脈内血流検査
(ドプラーカラーフローマッピング+流速計測)
右下段:VSD(心室中隔欠損症)犬・短絡血流検査
(ドプラーカラーフローマッピング)
|
 |
 |
 |
 |
 |
 |
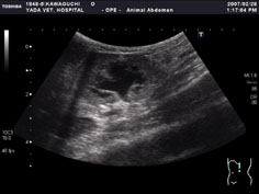
腹部エコー検査
腹部の臓器や組織、つまり肝臓や胆嚢、膵臓、腎臓、脾臓などの臓器、胃や腸、大腸などの消化管、さらに膀胱、前立腺、子宮どの検査をおこないます。腹部エコーは検査時に痛みもなく、リアルタイムで動きも観察できます。ただし、消化管内などにガスがあると観察できないこともあります。また、飼い主さんに理解してもらいやすくするため、3D合成することもあります。
左上段:犬・肝臓および胆嚢粘液症
右上段:猫・尿管閉塞による水腎症
左中段:犬・脾臓腫瘍
右中段:犬・ひも状異物による腸閉塞
左下段:猫・膀胱結石(3D合成画像)
右下段: 左の症例猫から摘出した結石 |
 |
 |
 |
 |
 |
 |

電子内視鏡検査
先端に小型CCDカメラ (CCD) とレンズを内蔵した太さ9mm程の細長い管を口や肛門から挿入して、
食道、胃、十二指腸や大腸の内部を観察したり、組織サンプルを採取(生検)したりするものです。
時には、胃内異物の取り出しやペグチューブの設置などの治療にも応用されます。
人の場合と違い、犬や猫は検査している間、じっと我慢して内視鏡を飲み込んでいてはくれませんので、
検査は軽い麻酔をかけた状態で実施します。
犬:咽頭鼻部
喉の上部、鼻の後側です。
鼻腔後部の炎症や腫瘍などがみつかることがあります。 |
 |
犬:幽門洞・幽門
胃の出口側です。左上に暗く写る穴が幽門で、その奥に十二指腸が続きます。 |
 |
犬:食道噴門部
食道の最下部、胃の入り口部分です。 |
 |
犬:十二指腸
胃から出てすぐの部分です。白っぽく写っているのが胆管や膵管の開口部である十二指腸乳頭です。 |
 |
犬:胃底部・噴門
胃の入り口部分を胃の内側からみたところです。黒いチューブのように見える内視鏡が入ってきている場所が噴門です。
|
 |
犬:空腸移行部
十二指腸から小腸の初め部分に移行する場所です。 |
 |
戻る
|