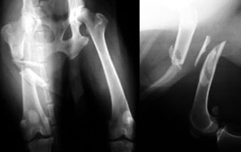
他院からの依頼症例
体重4kgの子犬(3か月齢)の大腿骨らせん骨折。
大腿骨中央部分で斜めに折れており、骨折部膝側にはひびが斜めに入っていました。
骨プレートと骨スクリュー6本を使い、コンプレッションプレート法で固定しました。3〜6か月齢の子犬の場合は、3か月程後にプレートを取ります。
写真上段: 手術前
写真下段: 手術後 |

 |
転院症例
体重20kg、年齢13歳の犬の大腿骨粉砕骨折。
大腿骨中央部で砕けて、近位(股関節に近い側)と遠位(膝に近い側)と中央部5つの小骨片に分かれていました。
中央部の小骨片をラグスクリュー法と細ピン固定法でひとつに組み立ててから、近位−中央部−遠位の骨をバトレスプレート法で固定しました。このぐらいの年齢になると、プレートを外すことはありません。
写真上段: 手術前
写真下段: 手術後
|

 |
他院からの紹介症例
体重10kgの犬の大腿骨近位粉砕骨折。
一見、ただの斜骨折に見えますが、実際には、近位側は6つの骨片に分離しており、根本近くまでひびが入っていました。
骨片をラグスクリューと細ピンで近位側骨にまとめてからニュートラリゼーションプレート法で固定しました。
写真上段: 手術前
写真下段: 手術後
プレート手術では、骨のカーブに合わせてプレートを曲げるベンディングという作業を行います。この症例の術後写真では、大腿骨のほぼ全長にわたってプレートをかけているので、プレートがベンディングされている様子がよくわかります。
|

 |
他院からの依頼症例
体重6kgの猫の大腿骨粉砕骨折。
膝関節近くまでひび割れており、難易度の高い症例でした。
中央部骨片をラグスクリューと細ピンでひとつにまとめた後、膝関節部に合わせてベンディングしたプレートを用いて固定しました。
写真上段: 手術前
写真下段: 手術後
膝関節ぎりぎりまでスクリューをいれてます。
|

 |