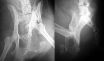
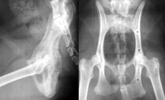
体重11kgの犬。
左側腸骨と坐骨で骨折していました。
腸骨はプレート法で、坐骨はプレート法とピンニングの併用で整復固定しました。
写真上段: 手術前
骨盤の一部が割れて内側に変位しています。
写真下段: 手術後 |

 |
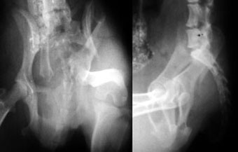
体重3kg、1歳齢の犬。
腸骨骨折と腹壁ヘルニアを起こしていました。
骨折部をプレート法により整復固定した後、腹壁ヘルニアの整復手術を実施しました。
写真上段: 手術前
骨盤の一部が割れて内側に変位しています。
写真下段: 手術後
|

 |
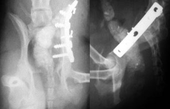
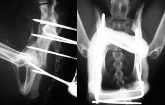
他院からの紹介症例
体重7kg、10か月齢の犬。
腸骨と坐骨の骨折と仙腸関節離断をおこしていました。
腸骨と坐骨はプレート法で整復固定し、仙腸関節離断は創外固定法で整復しました。
写真上段: 手術前
写真下段: 手術後
|

 |
猫の骨盤骨折もプレート法により整復固定するのが一般的ですが、骨盤が薄いため
スクリューによる固定力が弱くプレート脱落をおこしやすく、とくに骨の柔らかい仔猫では
手術が困難でした。
当院では、猫の骨盤骨折を創外固定で整復することでこれらの問題点を克服するとともに、
患猫の手術負担の軽減にも成功しています。
平成19年度日本獣医師会学会年次大会にて日本小動物獣医学会会長賞および日本獣医師会獣医学術奨励賞を受賞 |
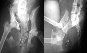
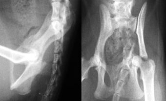
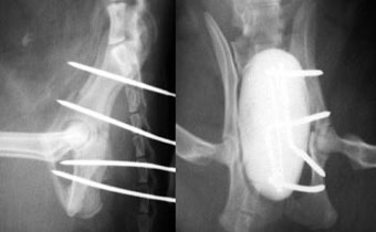
他院からの依頼症例
体重3kg、5歳齢の猫。
腸骨体と恥骨骨折および仙腸関節離断をおこしていました。
写真上段: 手術前
写真中段: 手術後
6本の創外固定ピンを刺入して骨盤構造を支えています。
写真下段: ピン抜去後
骨盤構造は正常に近い状態に回復しています。 |


 |
他院からの紹介症例
体重3.5kg、5か月齢の猫。
坐骨と恥骨骨折および仙腸関節離断をおこしていました。
写真上段: 手術前
骨盤の左右が前後にずれてしまっています。
写真中段: 手術後
4本の創外固定ピンを刺入して骨盤構造を支えています。
写真下段: ピン抜去直前
骨盤構造は正常に回復しています。
|


 |
転院症例
体重3kg、1歳の猫。
寛骨臼部と坐骨および恥骨の骨折をおこしていました。
写真上段: 手術前
股関節の部位で骨折し、後部が内側に変位しています。
写真中段: 手術後
4本の創外固定ピンを刺入して骨折部分を整復固定しています。
写真下段: ピン抜去後
骨盤構造は正常に回復し、骨折していたことがわからなくなっています。
|


 |
他院からの紹介症例
体重450gの2か月に満たない幼猫。
腸骨体と坐骨および恥骨の骨折と仙腸関節離断をおこしていました。
このような幼若猫の骨盤骨折は、プレート法では対応なかったため変形癒合をおこし、排便困難などの障害を起こすことがよくありました。
写真上段: 手術前
写真中段: 手術後
6本の創外固定ピンを刺入して骨盤構造を支えています。
写真下段: ピン抜去時
骨盤構造はほぼ正常に回復しています。 |


 |