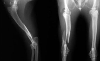
体重2.8kg、8か月齢の猫の上腕骨らせん骨折。
ピンニングと創外固定をタイインという方法で組み合わせることで、骨折部にメスを入れることなく整復固定しました。
写真上段: 手術前
写真中段: 手術直後
|

 |
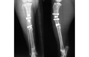
体重1.2kgの猫の脛骨(下腿骨)骨折。
これもピンニングと創外固定をタイインという方法で組み合わせることで、骨折部にメスを入れることなく整復固定しました。
写真上段: 手術前
写真2段目: 手術直後
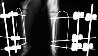
写真3段目: 手術直後の様子
レーザーでピン刺入部に小さな穴を開けただけで骨折部を開創せず、手術負担が少なかったため、手術直後には着地歩行していました。
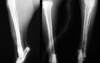
写真下段: 抜ピン後
|



 |
体重4kgの猫の脛骨骨幹部粉砕骨折。
ラグスクリューと細ピンによる骨片安定化とプレート固定術により整復固定しました。
写真上段: 手術前
骨幹部が縦に割れて多数の骨片に分かれています。
写真中段: 手術直後
骨片をラグスクリューと細ピンによりひとつにまとめてから、ほぼ全長にプレートをかけて固定しています。
写真下段: プレート除去後
ラグスクリューなどはそのままとなります。
|


 |
体重6kgの犬の下顎骨折。
創外固定法で整復固定し、4か月半後に抜ピンしました。
写真上段: 手術前
白矢印で示した黒い線が骨折部です。
写真中段: 創外固定部分の外貌写真
この後、エポキシ樹脂で本固定します。
写真下段: 手術後
|

  |
他院からの依頼症例
犬の脊椎骨折。
脱走してしまい、動けなくなっていたところを保護されました。
第13胸椎と第1腰椎の部分で骨折していました。
写真上段: 手術前
写真中段: 手術後 側面像
写真下段: 手術後 腹背像
海綿骨スクリューというネジ山の深い骨ネジと小型プレートで固定整復しました。
プレートによる整復固定で痛みは無くなりましたが、後駆麻痺は改善しませんでした。 |


 |