ミニチュアダックスフントの脛骨異形成症:
成長期に脛骨(下腿骨)が内側に湾曲してしまうため、歩き方が異常となり膝などに負担がかかります。
通常は、成長期末期の10か月例ぐらいで創外固定法による矯正骨切術を実施します。 |
転院症例
体重4kg、3歳齢のミニチュアダックスフント。
子犬時代から歩行異常がみられため市内他院を受診していましたが、同疾患を見落とされて膝関節の疾患と誤診されて膝にプレートを埋め込む手術をされました。歩行異常は改善せず再手術の繰り返しだったため、当院に来院しました。成長期ではなかったため、通常行う矯正骨切術は採用せずに、骨プレートによる楔形骨切反転固定術(骨の一部を楔形に切り取り、その骨片を反転して組み込むことで曲がりを矯正する方法)を実施しました。手術後は、歩き方は正常になりました。
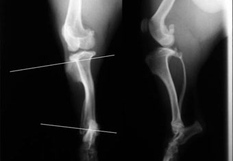
写真上段: 正常な脛骨
膝の関節ラインと足首の関節ラインに白線を引いてあります。これがわずかに外向きに傾くのが正常な状態です。
写真2段目: 手術前の患肢
膝の関節ラインと足首の関節ラインの白線をみると、かなり内側に傾いているのがわかります。膝関節には、不適切な手術で打ち込まれたプレート(白矢印)が写っています。
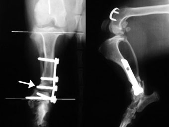
写真3段目: 手術後
足首に近い部分で骨を楔形(外側が厚い)に切り取り、その骨片を(厚い部分が内側になるように)反転して組み込み(白矢印)、骨プレートと骨スクリューで固定しました。膝の関節ラインと足首の関節ラインはほぼ並行に補正できました。
写真下段: プレート除去後
手術から17か月後にプレートを除去しました。
(膝関節に入れられていたプレートも除去しています) |

 
 |
膝蓋骨脱臼(内方):
膝蓋骨とは、膝の関節にあって大腿直筋と脛骨(下腿骨)を結ぶ膝蓋靱帯の中間部にあり、俗に「膝の皿」
といわれる骨です。膝蓋骨は大腿骨の遠位(膝側)の端にある滑車溝という部分を滑るように動くことで、膝の
曲げ伸ばしをスムーズにしています。
なんらかの要因(おもに先天的)で大腿部の筋肉の引っ張る力の向きが内側にずれると膝蓋骨は滑車溝から
内側に外れてしまいます。これを膝蓋骨内方脱臼といい、ポメラニアンやヨーキーなどの小型犬や柴犬などで
よくみられる疾患です。程度によりI〜IVのグレード分けがされています。
成長期のうちに発見し、手術を含む必要な処置を施すことが望ましいとされています。 |
他院からの紹介症例
体重6kg、2歳の犬。
跛行(後ろ足を痛がる)を主訴とするグレードIIIの膝蓋骨脱臼でした。
大腿直筋と内外側広筋の分離、滑車造溝、脛骨粗面移動、関節包縫縮、筋膜リボン補綴といった複数の処置を組み合わせた手術をしました。
写真上段: 手術前
大腿直筋(紫点線)から膝蓋骨(赤△で囲んだところ)を経て膝蓋靱帯(黄色点線)とつながるラインが大腿骨の中心から内側にずれてしまっています。このため、膝蓋骨は大腿骨滑車(緑2本線)から外れて(脱臼)います。また足首を前方向きにして撮影しているにもかかわらず、膝蓋靱帯が脛骨(下腿骨)に付着する脛骨粗面が内側に変位しています。
写真中段: 手術中
骨折や関節の手術時には、術部を毛刈り剃毛下後に消毒し、全面にドレープをかけ、さらに術部の皮膚にはインサイズドレープを貼り付けた上から切皮します。こうすることで、手術創を感染から守ります。
写真下段: 手術後
大腿直筋−膝蓋骨−膝蓋靱帯のラインが大腿骨の中心を通り、膝蓋骨が大腿骨滑車の中におさまるようになっています。脛骨粗面は正面寄りに移動されています(白く写る線は、移動した骨片を留めているピン)。
|


 |