椎間板ヘルニア症:
椎間板ヘルニア症には、髄核が線維輪から外に飛び出すハンセンI型
と、繊維輪が突き出してくるハンセンII型 があります。
診断にあたっては脊髄造影検査を実施し、横方向、腹背方向と左右斜め方向からX線撮影して、脊髄の圧迫部位や
程度を確認します。 |
ハンセンI 型の椎間板ヘルニア症の症例
4歳齢、体重5kgのミニチュア・ダックスフント。
3日まえから痛みをうったえる様子があり、1日前からは後駆麻痺状態となり内科治療をしたが改善しなかったとのことで、主治医から脊髄造影と片側椎弓切除手術(ヘミラミネクトミー)を依頼されました。
第13胸椎−第1腰椎間と第1−第2腰椎間の特に右側で、脊髄圧迫が認められましたので、同部位右側からのヘミラミネクトミーを実施しました。
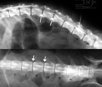
写真上段: 脊髄造影X線写真
上半分は腹背像、下半分は側面像。白矢印で示した部位で造影剤の白いラインが消えており、脊髄が圧迫されているのがわかります。
写真中段: 脊髄造影X線写真
左半分は左下斜め像、右半分は右下斜め像。
右下斜め像ので圧迫像(白矢印)が強く出ていることから、右側で椎間板ヘルニアが起こっていることがわかります。
写真下段: 手術で摘出した髄核
第13胸椎−第1腰椎間部分からは右写真のようなやや硬い髄核がとれました。第1−第2腰椎間部分では線維輪部分からの出血が認められ、髄核と思われる物質が広く散らばっていました。
|


 |
ハンセンII 型の椎間板ヘルニア症
6歳齢、体重5kgのミニチュアダックスフント。
約1か月前に背部痛と歩行時のふらつきで来診し、内科治療で改善していました。
手術前日から立てなくなり、神経学的検査でも強い麻痺徴候が見られました。脊髄造影では、第2−第3および第3−第4腰椎間の左側に強い脊髄圧迫が認められ、とくに第3−第4腰椎間は重度でした。
左側からのヘミラミネクトミーで、脊髄下からの出血と線維輪の突き出しが確認され、脊髄は赤黒く変色していました。線維輪の突出部分を炭酸ガスレーザーで平坦にして圧迫を取り除きました。脊髄内の腫れが強く、圧迫除去後も脊髄の色が改善しなかったため、予後判定と血流改善を期待して、脊髄を包む硬膜を切開しました。
写真上段: 脊髄造影X線写真
上半分は側面像、下半分は腹背像。白矢印で示した部位で造影剤の白いラインが消えたり押し上げられており、、脊髄が圧迫されているのがわかります。
写真中段: 脊髄造影X線写真
左半分は左下斜め像、右半分は右下斜め像。
左下斜め像ので圧迫像(白矢印)が強く出ていることから、左側で椎間板ヘルニアが起こっていることがわかります。
写真下段: 手術時の写真
中央を横に走るのが、硬膜を切開して露出した脊髄神経(黄色三角で示す)です。背側に出血による変色部(黄色矢印)がみられます。ピンセットでつまんでいるのは、切開した硬膜です。
硬膜切開によって、脊髄神経をとりまく血管の血流は改善し、色調も改善しました。
|


 |
※ 神経近くを扱う手術ですので、この手術でも皮膚常在菌の感染を防ぐためにインサイズドレープ
を使用して皮膚を露出させないようにしています。
ハンセンII 型症例の術中写真で、皮膚部分(緑色三角で示す)が光を反射して見えるのは、
インサイズドレープを貼り付けてあるからです。 |